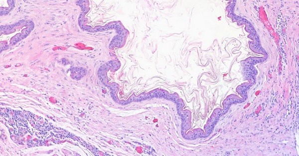
El alfavirus chikungunya (chikv) es un arbovirus perteneciente a la familia Togaviridae. La enfermedad causada por este generalmente se resuelve espontáneamente en pocas semanas; no obstante, también puede progresar a una enfermedad crónica. Los síntomas más comunes son fiebre, mialgia y artralgia; sin embargo, entre el 40 % y el 80 % de las personas infectadas pueden presentar manifestaciones cutáneas…
Daily Archives: 20 octubre, 2025
Infección por el virus Chikungunya en la piel: histopatología y respuesta inmunológica cutánea
Responsable: Tania Izquierdo PamiasDpto. Servicios Especiales de Información













